Skip to content ↓
Menu
What are you looking for?

Spotlight: Oct 30, 2025

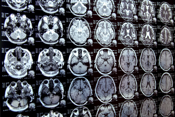
New research reveals what happens in the brain during attention lapses caused by sleep deprivation: A wave of cerebrospinal fluid flows out of the brain. This process typically occurs during sleep and helps to wash away waste products that have built up during the day.

Oct 30, 2025

Full story

Research and Education that Matter

Focusing on the risk of nuclear escalation, Caitlin Talmadge studies militaries’ on-the-ground capabilities and how they are influenced by political circumstances. “It’s important for me to do scholarship that speaks to real-world problems,” she says.

A deep-learning model from Alex Shalek and colleagues “was up to 17 times more effective at finding relevant compounds than standard, brute-force drug screening that depends on randomly selecting compounds from a chemical library,” Nature reported.

Enzian Pharmaceutics’ new tablets allow oral cancer drugs to be delivered more steadily into the bloodstream, to improve effectiveness and reduce side effects. “We believe this is a more efficient and effective way to deliver drugs,” Aron Blaesi PhD ’14 says.

Why do some quantum materials scale — making it into computer hard drives, TV screens, and medical diagnostics — while others stall? MIT researchers evaluated quantum materials’ potential for commercial success, and identified promising candidates.

In a world without MIT, radar wouldn’t have been available to help win World War II. We might not have email, CT scans, time-release drugs, photolithography, or GPS. And we’d lose over 30,000 companies, employing millions of people. Can you imagine?

​Since its founding, MIT has been key to helping American science and innovation lead the world. Discoveries that begin here generate jobs and power the economy — and what we create today builds a better tomorrow for all of us.